This post is also available in: 한국어 (Korean)

About Us
Welcome to ClariPi
ClariPi Inc. was founded in February 2015 to provide innovative solutions for the unmet needs in medical imaging fields through the convergence of intelligent big data computing and medical imaging technologies.
Our products were born through a long-term collaboration research between engineering and medical experts. Our products were designed to help medical imaging experts make confident decisions with clearer information and convenient decision guidance. We are providing innovative solutions to help medical experts cope with the rapidly changing landscape of 21st century healthcare services.
Experience the Unprecedented Image Clarity for ClariCT.AI
Our software is cultivated with repeated training that includes millions of noise-corrupted CT images that makes our Deep Learning model smarter in precisely capturing Noise Signatures in CT scan images. The ClariCT.AI distinguishes thousands of noise patterns from noisy low-dose or ultra-low-dose CT images and instantly produces high quality CT images, making them virtually free from noise. It also enhances clarity of anatomical structures while clearing strong noises without distortion or plastic appearance.
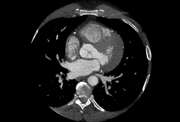
Before and After Denoising
Before and After Denoising
Before and After Denoising
Before and After Denoising
Before and After Denoising
Before and After Denoising
Before & After










Why Choose Us
How It Works
Done in real-time, the clinical workflow of the ClariCT.AI is simple and comprehensive. It can be a standalone solution running from a desktop PC or be built into different modalities such as CT machines and PACS system. Our technology also supports cloud-based distribution and deployment.
Our Products
Our products were born through a long-term collaborative research between engineering and medical experts. Our products were designed to help medical imaging experts make confident decisions with clearer information and convenient decision guidance.
ClariCT.AI
ClariCT.AI is an innovative vendor-neutral CT denoising solution based on Deep Learning technology. It is both FDA cleared and CE marked to offer a significant increase in CT image clarity, even with ultra-low-dose. Trained with over one million patient images containing varying degrees of noise for different body parts, its Clarity Engine separates image noise selectively while enhancing underlying structures; thus, providing clarity restored images.
ClariPulmo
ClariPulmo is a novel solution for emphysema and COPD reporting with low-dose CT allowing a value-added one-stop service in lung screening. It’s essential to lung screenings, ClariPulmo has accurate 3D reporting with ultra-low-dose CT. The ClariPulmo added with the ClariCT.AI can help achieve the best practice in lung screening by reducing noise induced bias with this 3D reporting.
ClariSIGMAM
ClariSIGMAM analyzes fat and glandular tissue composition in mammogram precisely with deep learning technology. It is an innovative breast cancer prediction marker. ClariSIGMAM is convenient with a smart workflow at an affordable cost.
ClariAdipo
ClariAdipo automatically measures the density of subcutaneous fat and visceral fat among all abdomen fat on abdominal CT images with AI technology. It is a standalone S/W that analyzes DICOM CT abdomen fat image data sets.


















































